Search

GAM MitoCan

About

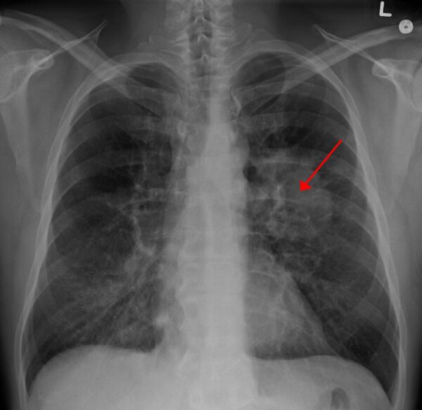
Targeted IV therapy using mitochondrial biomarkers for lung cancer

GAM MitoCan repurposes the investigational drug gamitrinib TPP hexafluorophosphate as a targeted IV therapy for non-small-cell lung cancer (NSCLC). Patients are prescreened for mitochondrial dysfunction through minimally invasive biopsies and blood tests to identify likely responders. As a mitocan therapy, GAM MitoCan selectively disrupts tumour cell mitochondria while sparing healthy tissue. Early use is expected to help patients who do not benefit from immunotherapy, offering a precision option to reduce tumour burden, minimise toxicity, and improve outcomes

Team


Similiar Projects

AllyCloud

AllyCloud

Harvard University

Smart patch for personalised allergy immunotherapy in children

Atlas

Atlas

University of Illinois at Urbana-Champaign

Low-cost neurosurgical navigation for life-saving brain procedures

Biodegradable Holmium-166 Rods

Biodegradable Holmium-166 Rods

Taylor’s University

Minimally invasive radiotherapy for liver and solid tumours

Bladder Cancer Brachytherapy

Bladder Cancer Brachytherapy

University of California, Los Angeles

Internal radiotherapy with stabilising bladder balloon